Embryon au stade zygote (1 jour) © Pierre Jouannet
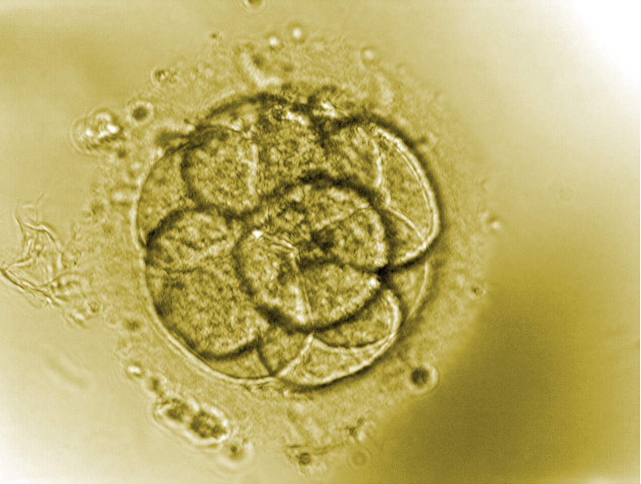
Embryon au stade 8 cellules (3 jours). © Pierre Jouannet